티스토리 뷰
마이코플라즈마 폐렴은 주로 호흡기 감염을 일으키는 세균으로, 기침, 발열, 가래 등의 증상을 유발합니다. 특히, 환절기나 면역력이 약한 사람들에게서 쉽게 발병할 수 있기 때문에 예방이 중요합니다. 이 글에서는 마이코플라즈마 폐렴의 주요 증상과 효과적인 예방 방법에 대해 자세히 알아보겠습니다.
특히 마이코플라즈마 폐렴은 10월과 11월에 발병 가능성이 높습니다. 마이코플라즈마 폐렴은 주로 가을과 겨울철에 유행하는 경향이 있으며, 특히 10월에서 11월 사이에 발생률이 증가하는 것으로 알려져 있습니다. 이는 계절 변화로 인해 기온이 낮아지면서 면역력이 약해지고, 사람들이 실내에서 밀집해 생활하는 시간이 늘어나는 시기이기 때문입니다.

마이코플라즈마 폐렴이란?
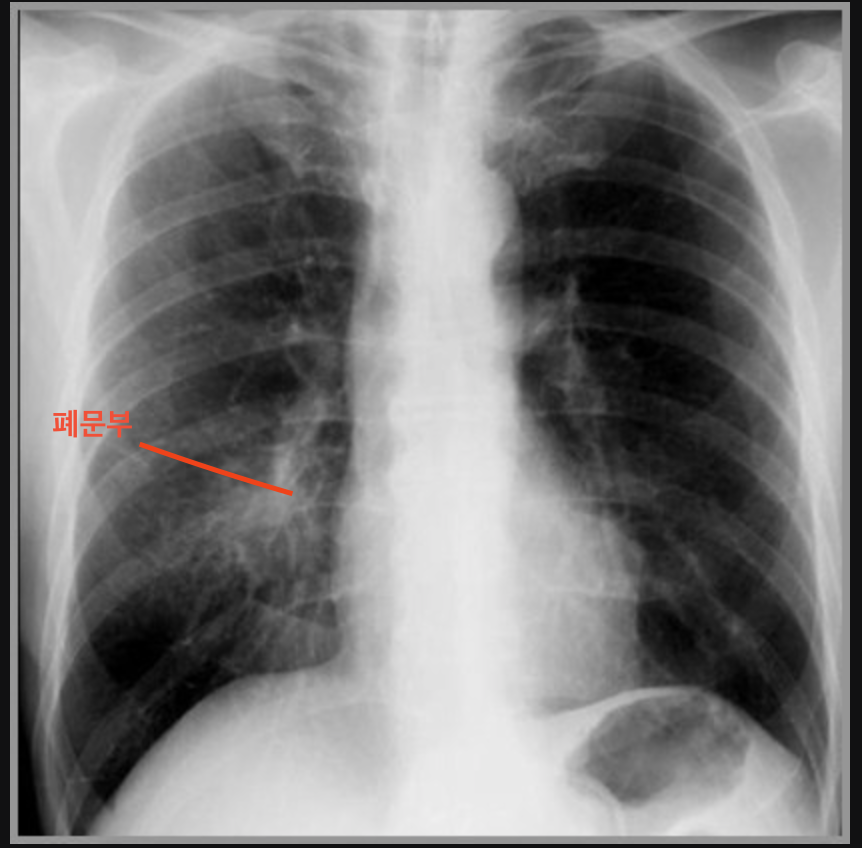
마이코플라즈마 폐렴은 마이코플라즈마라는 세균에 의해 발생하는 폐렴의 일종입니다. 이 세균은 일반적인 세균과는 달리 세포벽이 없어서 항생제에 대한 내성이 강한 특징이 있습니다. 주로 기침이나 재채기를 통해 전파되며, 감염된 사람의 호흡기 분비물에 의해 쉽게 전염됩니다. 특히, 어린이와 청소년, 면역력이 약한 노인층에서 자주 발생합니다.

마이코플라즈마 폐렴의 증상

마이코플라즈마 폐렴의 주요 증상으로는 기침, 발열, 인후통 등이 있습니다. 초기에는 가벼운 기침과 함께 미열이 나타나지만, 시간이 지나면서 증상이 악화될 수 있습니다. 특히, 기침은 2주 이상 지속될 수 있으며, 가슴 통증이나 호흡 곤란이 동반될 수 있습니다. 이러한 증상은 일반적인 감기와 유사하지만, 지속적인 기침과 고열이 특징적입니다.

마이코플라즈마 폐렴의 전염 경로
마이코플라즈마 폐렴은 주로 감염된 사람의 기침이나 재채기를 통해 전파됩니다. 이때 발생하는 비말이 공기 중에 떠돌아 다른 사람의 호흡기로 들어가 감염을 일으킵니다. 또한, 감염된 사람과의 밀접한 접촉이나 같은 공간에서의 생활도 전염의 원인이 될 수 있습니다. 따라서, 감염된 사람과의 접촉을 피하는 것이 중요합니다.
마이코플라즈마 폐렴의 예방 방법
마이코플라즈마 폐렴을 예방하기 위해서는 개인 위생이 가장 중요합니다. 손을 자주 씻고, 기침이나 재채기를 할 때는 반드시 입과 코를 가려야 합니다. 또한, 감염된 사람과의 접촉을 피하고, 공공장소에서는 마스크를 착용하는 것이 좋습니다.

특히, 어린이와 노인층은 면역력이 약하므로 더욱 주의해야 합니다.
마이코플라즈마 폐렴의 치료 방법
마이코플라즈마 폐렴은 일반적인 항생제로 치료하기 어려운 경우가 많습니다. 따라서, 증상이 심한 경우에는 전문의의 진료를 받는 것이 중요합니다. 의사는 증상에 따라 적절한 치료 방법을 제시할 것입니다. 일반적으로는 기침 완화제나 해열제를 사용하여 증상을 완화시키고, 충분한 휴식을 취하는 것이 필요합니다.
마이코플라즈마 폐렴에 대한 오해와 진실
마이코플라즈마 폐렴에 대한 여러 가지 오해가 존재합니다. 예를 들어, "마이코플라즈마 폐렴은 감기와 같아서 별로 심각하지 않다"는 잘못된 인식이 있습니다. 하지만, 이 질환은 적절한 치료를 받지 않으면 심각한 합병증을 초래할 수 있습니다. 따라서, 증상이 나타나면 즉시 병원을 방문하는 것이 중요합니다.
마이코플라즈마 폐렴 관련 정보 및 자료
마이코플라즈마 폐렴에 대한 더 많은 정보는 질병관리청이나 서울아산병원 뉴스룸과 같은 신뢰할 수 있는 기관의 웹사이트를 통해 확인할 수 있습니다. 이러한 자료들은 예방 및 치료에 대한 유용한 정보를 제공합니다.


면역력 기르기
마이코플라즈마 폐렴을 예방하고 면역력을 강화하기 위해 도움이 될 수 있는 건강보조제는 다음과 같습니다:
- 비타민 C: 강력한 항산화제로 면역 체계를 지원하고 감염에 대한 저항력을 높이는 데 도움을 줍니다.
- 비타민 D: 면역 조절에 중요한 역할을 하며, 특히 겨울철 비타민 D 수치가 낮아지면 감염 위험이 증가할 수 있습니다. 규칙적인 섭취가 면역력 강화에 효과적입니다.
- 아연: 면역 세포의 기능을 유지하고 감염에 대한 방어력을 강화하는 데 도움이 되는 필수 미네랄입니다. 아연 보충제는 호흡기 감염 예방에 효과적일 수 있습니다.
- 프로바이오틱스: 장 건강을 개선하고 면역 체계를 강화하는 데 중요한 역할을 합니다. 장내 미생물의 균형이 면역력에 직접적인 영향을 미칠 수 있습니다.
- 엘더베리 추출물: 항바이러스 효과가 있어 감기 및 독감과 같은 호흡기 감염을 예방하는 데 도움이 될 수 있습니다